Points forts
|

CHICAGO – Deux études comparant les injections couramment utilisées pour soulager la douleur liée à l’arthrose du genou ont révélé que les injections de corticostéroïdes étaient associées à la progression de la maladie . Les résultats des deux études ont été présentés lors de la réunion annuelle de la Radiological Society of North America (RSNA).
L’arthrose est la forme d’arthrite la plus courante, touchant 32,5 millions d’adultes aux États-Unis. L’arthrose du genou est une maladie chronique, dégénérative et évolutive avec une incidence estimée à 800 000 patients chaque année. Plus de 10 % des patients souffrant d’arthrose du genou recherchent un traitement non invasif pour soulager la douleur grâce à des injections de corticoïdes ou d’acide hyaluronique .
Les chercheurs des deux études ont recruté des cohortes de l’Osteoarthritis Initiative, une étude observationnelle multicentrique longitudinale portant sur près de 5 000 participants souffrant d’arthrose du genou et qui en est actuellement à sa 14e année de suivi.
Dans la première étude, des chercheurs de l’Université de Californie à San Francisco ont inclus 210 participants à l’Osteoarthritis Initiative, dont 70 ont reçu des injections intra-articulaires et un groupe témoin de 140 personnes n’ayant reçu aucune injection sur une période de deux ans. Sur les 70 patients ayant reçu des injections, 44 ont reçu des corticostéroïdes et 26 ont reçu des injections d’acide hyaluronique. Les groupes de traitement et de contrôle ont été appariés en fonction de l’âge, du sexe, de l’indice de masse corporelle, des scores de douleur et d’activité physique et de la gravité de la maladie.

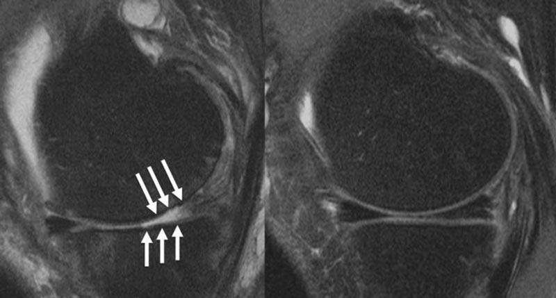
Une IRM a été réalisée chez tous les patients au moment de l’injection et deux ans avant et après. Les IRM ont été évaluées à l’aide du Whole Organ MRI Score (WORMS), un système de classification de l’arthrose du genou qui se concentre sur le ménisque, les lésions de la moelle osseuse, le cartilage, les épanchements articulaires et les ligaments. . Les chercheurs ont identifié la progression de l’arthrose en comparant les scores d’imagerie des examens de base et des examens de suivi de deux ans.

Articulation du genou d’un patient présentant (A) de graves défauts cartilagineux et (B) une articulation du genou intacte.
"Il s’agit de la première comparaison directe d’injections de corticostéroïdes et d’acide hyaluronique utilisant une évaluation semi-quantitative d’organes entiers du genou avec l’IRM", a déclaré Upasana Upadhyay Bharadwaj, MD, chercheur au département de radiologie de l’Université de Californie à San Francisco. .
L’analyse statistique a montré que les injections de corticostéroïdes dans le genou étaient associées de manière significative à la progression globale de l’arthrose du genou, en particulier au niveau du ménisque latéral, du cartilage latéral et du cartilage médial.
Les injections d’acide hyaluronique au genou n’étaient pas significativement associées à la progression de l’arthrose du genou. Par rapport au groupe témoin, le groupe recevant des injections d’acide hyaluronique a montré une progression réduite de l’arthrose, en particulier des lésions de la moelle osseuse.
"Bien que les injections de corticostéroïdes et d’acide hyaluronique aident à soulager la douleur symptomatique de l’arthrose du genou, nos résultats montrent de manière concluante que les corticostéroïdes sont associés à une progression significative de l’arthrose du genou jusqu’à deux ans après l’injection et doivent être administrés avec prudence", a déclaré le Dr Upadhyay. Bharadwaj a dit. " L’acide hyaluronique , quant à lui, peut ralentir la progression de l’arthrose du genou et atténuer les effets à long terme tout en offrant un soulagement symptomatique. "
Dans la deuxième étude, des chercheurs de la Chicago Medical School de l’Université de médecine et des sciences Rosalind Franklin ont mené une étude cas-témoins comparant la progression radiographique de l’arthrose chez des patients ayant reçu des injections de corticostéroïdes et d’acide hyaluronique.
"Bien que ces injections procurent à certains patients un soulagement de la douleur à court terme , leurs effets sur la progression de la maladie sont inconnus", a déclaré le chercheur et étudiant en médecine Azad Darbandi.
L’équipe de Darbandi a sélectionné une cohorte de 150 patients présentant des caractéristiques de base similaires dans la base de données de l’Osteoarthritis Initiative, dont 50 patients ayant reçu des injections de corticostéroïdes, 50 ayant reçu des injections d’acide hyaluronique et 50 n’ayant reçu aucune injection sur une période donnée. 36 mois. Les groupes ont été appariés en fonction du sexe, de l’indice de masse corporelle et des radiographies.
Les patients ont subi une radiographie du genou au début de l’étude et deux ans plus tard. Les chercheurs ont analysé les images radiographiques, notamment le rétrécissement de l’espace articulaire, la formation d’éperons osseux et l’épaississement osseux autour du cartilage du genou.
Par rapport aux patients ayant reçu une injection d’acide hyaluronique ou aucun traitement, les patients ayant reçu une injection de corticostéroïdes ont présenté une progression de l’arthrose significativement plus importante , y compris un rétrécissement de l’espace articulaire médial, une caractéristique de la maladie.
"Bien que les résultats d’imagerie pour tous les patients étaient similaires au départ, les caractéristiques de l’imagerie de l’arthrose étaient pires deux ans plus tard chez les patients ayant reçu des injections de corticostéroïdes par rapport aux patients ayant reçu des injections d’acide hyaluronique ou sans traitement", a déclaré Darbandi. "Les résultats suggèrent que les injections d’acide hyaluronique devraient être explorées davantage pour le traitement des symptômes de l’arthrose du genou et que les injections de stéroïdes devraient être utilisées avec plus de prudence."
"Connaître les effets à long terme de ces injections aidera les patients arthrosiques et les médecins à prendre des décisions plus éclairées pour gérer la maladie et la douleur qu’elle provoque", a ajouté le Dr Upadhyay Bharadwaj.















