| Points forts |
|
Le terme « pneumoconiose » est utilisé pour décrire un ensemble de maladies pulmonaires professionnelles associées à l’inhalation d’un agent (poussière, fumée, fibre) dans lesquelles la rétention dans les poumons est un facteur causal clé. Le concept est le plus souvent appliqué à la pneumoconiose et à la silicose des travailleurs du charbon, mais d’autres substances sont impliquées. Ils se développent généralement chez des individus sensibles après de nombreuses années d’exposition industrielle pertinente et peuvent progresser une fois l’exposition terminée.
La capacité des différents types de particules piégées à provoquer des lésions pulmonaires varie considérablement ; Par exemple, la poussière de silice est hautement fibrogène, tandis que la poussière d’oxyde de fer l’est beaucoup moins. Cela dépend de la taille et de la toxicité de la particule inhalée, ainsi que de la capacité des poumons à l’éliminer.
Seule une proportion de travailleurs exposés de manière similaire développent une pneumoconiose, ce qui suggère que des facteurs génétiques pourraient être pertinents.
Pour la plupart des formes de pneumoconiose, il n’existe aucun traitement spécifique disponible, c’est pourquoi la prévention de l’exposition et la détection précoce de la maladie sont de la plus haute importance.
Cet article se concentre sur les principales expositions causales responsables de la pneumoconiose au Royaume-Uni ( charbon, silice, amiante ). D’autres causes peuvent être l’oxyde de fer, l’oxyde d’étain ou le béryllium.
| Pneumoconiose des charbonniers |
> Épidémiologie
L’incidence du CWP a diminué ces dernières années, ce qui a été associé à une diminution de la production de charbon. Le risque de CWP est lié à la durée et au niveau d’exposition, ainsi qu’à la gamme (teneur en carbone) du charbon.
> Caractéristiques cliniques
La pneumoconiose simplex des charbonniers est associée à de petits nodules arrondis, principalement dans les zones supérieures du poumon, représentant des collections de macrophages chargés de poussière, visibles sur une radiographie pulmonaire. En l’absence de maladie pulmonaire obstructive chronique (MPOC) coexistante, la CWP simple ne présente généralement aucun symptôme, signe physique ou physiologie anormale.
La pneumoconiose compliquée des travailleurs du charbon est associée à une formation de masse lentement progressive dans le lobe supérieur et à une fibrose (anciennement appelée fibrose massive progressive). Les formes compliquées expriment généralement de la toux, des difficultés respiratoires et, dans certains cas, une évolution vers une hypoxie et une insuffisance cardiaque droite.
> Recherche
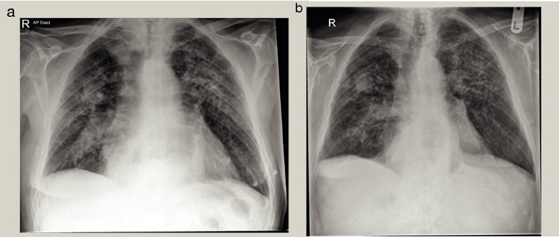
Le diagnostic de CWP simple ou compliqué repose sur des résultats radiologiques typiques et des antécédents professionnels d’exposition adéquate à la poussière de charbon. Si disponible, une radiologie préalable est particulièrement utile si elle montre des apparences relativement stables sur de nombreuses années ( Figure 1 ).
Lorsque les caractéristiques radiologiques ne sont pas typiques, en particulier s’il existe des antécédents de tabagisme importants, les patients présentant des nodules pulmonaires et des lésions massives doivent être discutés avec l’équipe multidisciplinaire du cancer du poumon.
Dans le CWP, le facteur rhumatoïde et les anticorps antinucléaires peuvent être présents dans le sérum, bien qu’aucun d’eux ne soit suffisamment sensible pour être utile au diagnostic.
> Gestion et prévention
Il n’existe aucun traitement médical efficace contre le CWP, autre que la prise en charge de l’hypoxie et de l’insuffisance cardiaque droite. La poussière de charbon est également une cause de BPCO et une obstruction coexistante des voies respiratoires doit être traitée. L’importance d’arrêter de fumer doit également être soulignée. L’identification des CWP simples grâce à la surveillance de la santé et à la réduction de l’exposition supplémentaire est essentielle pour tenter de prévenir les maladies complexes.

Figure 1 . Apparitions typiques à la radiographie pulmonaire d’une pneumoconiose compliquée d’un travailleur du charbon. (a) Plusieurs nodules petits et denses sont observés dans les zones supérieure et médiane, avec une opacité de 3 cm dans la zone médiane droite. (b) Les apparences radiographiques sont restées relativement stables sur une période de suivi de 4 ans.
| Silicose |
> Épidémiologie
Si l’incidence et la mortalité de la silicose sont restées relativement stables en Grande-Bretagne au cours de la dernière décennie, cela contraste avec certains pays en développement où il s’agit de la forme la plus courante de maladie pulmonaire professionnelle. Plusieurs professions sont associées à une exposition à la silice cristalline respirable (RCS), le plus souvent par exposition à des roches, des pierres ou du sable.
> Caractéristiques cliniques et investigations
L’exposition à la silice cristalline respirable (SCR) peut entraîner un certain nombre de types de maladies différents, avec des taux de progression et des pronostics différents.
La silicose chronique résulte généralement d’au moins 10 ans d’exposition à un faible niveau de RCS.
La silicose simple est généralement asymptomatique et est souvent détectée sur une radiographie pulmonaire de routine. Comme pour le CWP, une maladie simple peut évoluer vers une maladie compliquée, avec une incapacité respiratoire importante.
Une silicose accélérée peut se développer après une période plus courte (généralement 5 à 10 ans) d’un niveau d’exposition plus élevé au RCS. L’évolution est plus rapide que dans les maladies chroniques, la maladie pulmonaire étant plus diffuse et le pronostic nettement moins bon.
La silicose aiguë est associée à des lésions pulmonaires immédiates dues à une exposition massive au RCS sur une période de plusieurs semaines ou mois, généralement due au creusement de tunnels dans des roches dures ou au sablage. Son pronostic est très sombre et est généralement fatal quelques mois après sa présentation.
> Gestion et prévention
Comme pour le CWP, il n’existe pas de traitement spécifique contre la silicose, la prévention ou la détection précoce de la maladie est donc vitale. Les complications telles que l’insuffisance cardiaque droite, les maladies des voies respiratoires coexistantes, les infections mycobactériennes et les maladies auto-immunes doivent être prises en charge de manière conventionnelle. De plus, les conseils pour arrêter de fumer sont essentiels.
| Amiantose |
> Épidémiologie
« Asbestose » est le terme utilisé pour décrire la fibrose pulmonaire diffuse provoquée par l’inhalation de fibres d’amiante. Contrairement à d’autres types de pneumoconiose, la mortalité due à l’amiantose est en augmentation en Grande-Bretagne. L’utilisation de l’amiante a été interdite dans de nombreux pays développés, mais une exposition professionnelle peut encore survenir lors du déplacement de matériaux contenant cette substance dans des bâtiments anciens. À l’échelle mondiale, la production d’amiante est en baisse.
> Caractéristiques cliniques
Elle survient généralement chez les individus sensibles plusieurs décennies (10 à 20 ans) après une exposition professionnelle prolongée. Les personnes les plus exposées sont les travailleurs directement impliqués dans la production de matériaux contenant de l’amiante.
Les caractéristiques cliniques de l’amiantose sont similaires à celles de la fibrose pulmonaire idiopathique (FPI), avec toux et détresse respiratoire progressive à l’effort. L’examen physique révèle généralement de fins crépitements inspiratoires et, s’ils sont présents, un clubbing semble indiquer un pire pronostic.
> Enquêtes
Le diagnostic repose généralement sur les résultats radiologiques et des antécédents appropriés d’exposition professionnelle chronique. Il est important de noter que les résultats de la tomodensitométrie à haute résolution peuvent être identiques à ceux de la FPI et qu’un diagnostic d’amiantose ne doit pas être posé ou exclu en fonction de la présence ou de l’absence de plaques pleurales. Les corps amiantés peuvent être identifiés dans les crachats ou dans le liquide de lavage broncho-alvéolaire, et leur présence peut faciliter le diagnostic.
> Gestion
Elle progresse généralement relativement lentement. Il n’existe pas de traitement spécifique autre que le traitement de l’insuffisance cardiaque droite et le conseil en cessation tabagique.















