Cas 1 Un homme de 68 ans ayant des antécédents de diabète sucré insulino-dépendant, d’hypertrophie bénigne de la prostate (HBP) et d’hypertension (HTN) s’est présenté aux urgences avec fatigue, fièvres subjectives durant deux jours et dysurie. Il soutient la myalgie et l’inconfort lombaire. Il nie toute intervention chirurgicale, procédure ou utilisation d’antibiotiques récente. Il a eu un épisode de vomissements non sanglants et non bilieux avant son arrivée. Le patient rapporte que son taux de sucre dans le sang à la maison aujourd’hui était de 273 et 315. Il se plaint actuellement de pression vésicale et n’a pas uriné depuis 6 heures. Il est tachycardique et fébrile. Que faut-il considérer dans le diagnostic différentiel ? Quels examens dois-je demander ? Quelles études d’imagerie pourraient être utiles ? Cas n°2 Un homme de 82 ans ayant des antécédents d’HBP, de HTN, de diabète, de maladie coronarienne (CHD) et de vertiges se présente aux urgences avec une faiblesse. Sa femme rapporte que son urologue a effectué une intervention il y a quelques jours, mais elle n’est pas sûre de son nom. Aujourd’hui, il vomit et semble déshydraté. Le patient est alité depuis hier, mais il est normalement assez actif avec un déambulateur. Ils ont prévu un grand voyage pour demain et se demandent s’ils doivent l’annuler. Les signes vitaux incluent HR 90, BP 105/76, RR 13, température 38,4 C, SatO2 98 % dans la PR. |
Que faut-il rechercher à l’examen ? Quels médicaments dois-je prescrire ? Le patient doit-il être hospitalisé ?
Qu’est-ce que la prostatite ?
La prostatite peut être divisée en plusieurs sous-catégories :
| Catégorie | Description |
| Prostatite bactérienne aiguë | • Symptômes sévères de la prostate • IVU aiguë • Infection systémique |
| Prostatite bactérienne chronique | • +/- symptômes de prostatite • IVU récurrente due au même organisme sans durée spécifique, mais les patients présentent généralement des symptômes pendant 3 mois ou plus. |
| Prostatite chronique/syndrome de douleur pelvienne chronique | • Négatif pour les infections urinaires, mais avec des symptômes mictionnels • Les symptômes incluent un dysfonctionnement sexuel, des douleurs pelviennes et des difficultés mictionnelles pendant plus de trois mois • Divisé en sous-catégories inflammatoires et non inflammatoires |
| Prostatite inflammatoire asymptomatique | • Inflammation prostatique sans symptômes génito-urinaires |
Pour les besoins de cet article, nous nous concentrerons sur la prostatite bactérienne aiguë.
Les syndromes de prostatite sont relativement fréquents, en particulier chez les personnes non âgées. La prévalence estimée de tous les syndromes de prostatite est de 8,2 %. Pour les patients de moins de 50 ans, il s’agit de l’affection urologique la plus courante et pour les patients plus âgés, du troisième diagnostic le plus courant.
Chez les hommes ayant déjà eu au moins un épisode de prostatite, leur probabilité cumulée d’avoir un autre épisode de prostatite était de 50 % chez les patients âgés de 80 ans et augmentait avec l’âge. L’incidence et la prévalence exactes de la prostatite bactérienne aiguë sont inconnues dans les services d’urgence, mais on estime que la prostatite bactérienne aiguë contribue à 4 à 10 % de l’ensemble des cas de prostatite observés dans la communauté.
L’une des complications redoutées de la prostatite bactérienne aiguë est l’abcès prostatique, une accumulation localisée de liquide purulent dans la prostate. L’incidence la plus élevée d’abcès de la prostate survient chez les hommes âgés de 50 à 60 ans.
L’incidence des abcès de la prostate chez les hommes asymptomatiques atteints du VIH et du SIDA est respectivement de 3 % et 14 %. Les hommes subissant une intervention urologique telle qu’une biopsie de la prostate constituent un autre groupe notable, avec environ 10 % de ces patients développant des abcès de la prostate.
Comment est provoquée la prostatite ?
Bien que la prostate dispose de mécanismes naturels permettant de prévenir les infections, notamment immunologiques (sécrétions antibactériennes) ou mécaniques (éjaculation et évacuation pour nettoyer l’urètre prostatique), un drainage insuffisant ou un reflux urinaire de l’urètre ou de la vessie vers la prostate peuvent provoquer des calculs, une fibrose ou une inflammation. .
L’ensemencement peut également se produire par inoculation après des procédures impliquant l’urètre et la prostate.
La prostatite bactérienne aiguë est probablement provoquée par une infection urinaire remontant jusqu’aux canaux intraprostatiques.
Les organismes impliqués dans la prostatite peuvent également présenter des niveaux plus élevés de certains facteurs de virulence par rapport à la simple cystite ou à d’autres infections génito-urinaires.
Quels sont les facteurs de risque de développer une prostatite ?
| Catégorie | Exemple |
| Infections génito-urinaires concomitantes | Cystite Urétrite Épididymite |
| Obstruction mécanique Anomalies neurophysiologiques |
Sténose urétrale Phimosis |
| Instrumentation | Utilisation chronique d’un cathéter de Foley Sondage vésical intermittent Cathéter à préservatif Biopsie de la prostate Cystoscopie |
| Immunosuppression | VIH |
| Autres | Rapports anaux réceptifs |
D’autres facteurs de risque ont été mentionnés dans la littérature : traumatisme, sevrage et déshydratation, mais il manque des preuves de haute qualité pour étayer cette hypothèse.
Quels organismes causent la prostatite ?
Semblables aux infections génito-urinaires, les bactéries Gram-négatives en sont la cause la plus fréquente. E. Coli constitue la grande majorité (jusqu’à 88 % des cas de prostatite bactérienne aiguë). D’autres espèces d’Enterobacteriaceae telles que Klebsiella et Proteus constituent environ 10 à 30 % des cas connus. Plus rarement, les Pseudomonas et autres Enterococcus sont impliqués.
D’autres organismes, en particulier les coques à Gram positif tels que Staphylococcus aureus , devraient également être pris en compte, car les experts estiment que leur prévalence est en augmentation. La bactériémie due aux infections à Staphylococcus aureus peut infecter gravement la prostate. Cela devrait également justifier la recherche d’une infection occulte à un autre endroit, comme une endocardite, des tissus mous ou un cathéter vasculaire.
> Populations particulières
Les personnes ayant subi récemment des interventions sur la prostate peuvent être plus susceptibles d’être infectées par des bactéries résistantes aux fluoroquinolones et par Pseudomonas , probablement en raison de l’utilisation d’antibiotiques prophylactiques. Chlamydia trachomatis et Neisseria gonorrhoeae peuvent également être observées chez les patients sexuellement actifs, quel que soit leur âge.
En plus des agents pathogènes bactériens courants, les patients infectés par le VIH peuvent également être porteurs de Salmonella typhi ou de Neisseria gonorrhoeae. Les voyageurs en Asie et en Australie peuvent être atteints de Burkholderia pseudomallei , qui a également été associée au développement d’abcès de la prostate. Les personnes immunodéprimées, comme les patients diabétiques ou séropositifs, sont plus susceptibles de développer des abcès de la prostate.
Présentation clinique de la prostatite bactérienne aiguë
Classiquement, les patients atteints de prostatite bactérienne aiguë présenteront de la fièvre et des symptômes constitutionnels en plus d’un inconfort urinaire tel qu’une incontinence par impériosité ou une hésitation. Ils peuvent également signaler une urine trouble et des douleurs génito-urinaires.
D’autres patients peuvent simplement présenter des symptômes pseudo-grippaux (nausées, faiblesse, frissons), il est donc essentiel de recueillir de bons antécédents pour être sûr de ne pas manquer ce diagnostic.
> Examen physique
Lorsqu’ils abordent l’examen physique chez les patients de sexe masculin présentant des troubles génito-urinaires, les médecins doivent s’assurer d’inspecter visuellement le périnée et les organes génitaux, de palper les masses ou autres anomalies et d’effectuer un toucher rectal.
La prostate est généralement sensible, œdémateuse et molle au toucher rectal numérique, avec une sensibilité de 63,3 % et une spécificité de 77,7 %. D’autres sources rapportent que plus de 95 % des patients présentent une sensibilité de la prostate à l’examen.
Une fluctuation peut suggérer un abcès , avec une incidence élevée de 16 à 88 %. Dans certains cas, cela suffit pour établir le diagnostic. Le massage de la prostate n’est pas recommandé, mais la palpation d’une prostate molle elle-même est généralement sans danger.
La palpation de l’abdomen pour rechercher une distension de la vessie ou une sensibilité du flanc peut également être utile lors de l’examen d’autres diagnostics. Il peut également y avoir un spasme du sphincter rectal.
> Etudes laboratoire et imagerie
Bien que ce ne soit certainement pas nécessaire pour confirmer le diagnostic, les patients peuvent présenter une leucocytose et des marqueurs inflammatoires élevés tels que la VS ou la CRP. Il n’existe actuellement aucune étude quantitative évaluant son rôle dans le diagnostic de la prostatite bactérienne aiguë. Le sérum PSA n’est généralement pas disponible aux urgences et est d’une utilité limitée dans la phase aiguë de la maladie.
L’analyse d’urine peut être importante pour les bactéries et la pyurie. Les résultats de la culture intermédiaire ainsi que la coloration de Gram sont également utiles pour déterminer le microbe responsable. (Association canadienne des urologues : recommandation de niveau IIA).
Des tests d’urine avant et après le massage de la prostate ont été utilisés pour diagnostiquer la prostatite chronique, mais le massage de la prostate est contre-indiqué dans la prostatite bactérienne aiguë en raison de la possibilité de provoquer une bactériémie.
Une étude a déterminé que la sensibilité aux nitrites était de 55 à 58 % et celle à l’estérase leucocytaire de 81 à 83 % chez les patients atteints de prostatite bactérienne aiguë. Le dépistage de la gonorrhée et de la chlamydia doit être envisagé chez les patients sexuellement actifs. Sauf si les patients présentent une maladie valvulaire, une endocardite suspectée ou une septicémie, des hémocultures de routine ne sont pas nécessaires.
Conclusion : la prostatite est un diagnostic clinique ! L’analyse et la culture d’urine peuvent être négatives, alors assurez-vous de considérer le tableau clinique plus large.
Les études d’imagerie ne sont généralement pas nécessaires à moins qu’il y ait une forte suspicion d’abcès de la prostate ou que le patient présente un risque élevé, l’échographie et la tomodensitométrie étant les modalités d’imagerie possibles (Association canadienne des urologues : recommandation de niveau IIIB/IIA).
L’échographie transrectale est recommandée en première intention comme modalité d’imagerie peu coûteuse par rapport à d’autres alternatives, avec une sensibilité de 80 à 100 % pour les abcès de la prostate.
Cependant, cette modalité est contre-indiquée chez les patients présentant des douleurs intenses, des fistules et des hémorroïdes sévères. Cette approche bénéficie également d’une intervention thérapeutique telle que l’aspiration à l’aiguille, avec une série de cas rapportant un taux de réussite de 86 %.
La tomodensitométrie avec et sans contraste intraveineux peut être utile pour déterminer l’étendue de la maladie, c’est-à-dire en relation avec la propagation nécrosante, et constitue la modalité d’imagerie privilégiée pour évaluer les abcès emphysémateux de la prostate.
Il n’existe aucune étude récente évaluant la sensibilité et la spécificité de la tomodensitométrie dans le diagnostic de la prostatite ou des abcès de la prostate. Bien que l’IRM ait une sensibilité plus élevée que la tomodensitométrie, elle ne s’est pas révélée meilleure que l’échographie transrectale.



Complications
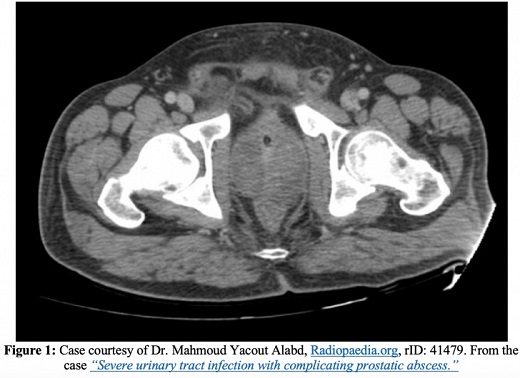
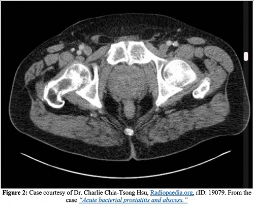
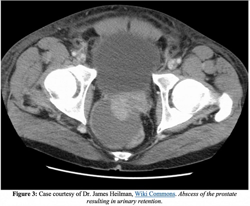
Outre l’endocardite, l’épididymite, la propagation de l’infection aux espaces osseux ou articulaires et le développement d’une prostatite chronique, l’une des complications les plus graves de la prostatite aiguë est un abcès de la prostate. Sur les images tomodensitométriques, les abcès de la prostate apparaissent comme des collections de liquide non rehaussées. Les abcès prostatiques apparaîtront sous forme de zones anéchoïques ou hypoéchogènes à l’échographie transrectale.
Une évaluation urologique pour un éventuel drainage de l’abcès peut être nécessaire si l’abcès de la prostate persiste après au moins une semaine d’antibiotiques, chez certains patients réfractaires ou en échec thérapeutique.
La rétention urinaire aiguë est une complication connue de la prostatite aiguë. Certaines sources recommandent de renoncer à l’insertion d’un cathéter de Foley au profit d’un cathétérisme sus-pubien en raison du risque potentiel de rupture d’abcès ou de choc septique. D’autres recommandent un cathétérisme unique avec un test de miction ou un cathéter urétral de Foley de petit calibre à court terme. Une consultation en urologie est recommandée.
Diagnostic différentiel
Le diagnostic alternatif le plus important est peut-être une infection urinaire. N’oubliez pas que l’instrumentation résultant d’interventions récentes ou d’anomalies anatomiques telles qu’une sténose ou une HBP peut prédisposer les personnes à développer des infections des voies urinaires et donc une prostatite.
Les patients qui ne répondent pas au traitement de la cystite aiguë doivent être évalués pour une éventuelle prostatite. Bien que les patients atteints d’HBP puissent signaler des symptômes urinaires, ils ne devraient pas présenter de fièvre ou d’autres signes infectieux lors de leur évaluation en laboratoire. La sensibilité de la prostate peut aider à différencier la prostatite d’autres diagnostics tels que l’épididymite ou l’urétrite.
Prise en charge et traitement
Les antibiotiques constituent le pilier du traitement de la prostatite bactérienne aiguë non compliquée .
Quand faut-il admettre les patients ?
Les patients sans signes d’instabilité hémodynamique, de suspicion de sepsis imminent, de comorbidités significatives et de tolérance aux médicaments oraux peuvent être traités en toute sécurité en ambulatoire avec un suivi urologique ambulatoire.
Les patients peu fiables, sans bon suivi ou présentant une forte suspicion de bactériémie doivent être hospitalisés. Enfin, les patients qui développent une rétention urinaire aiguë doivent être étroitement surveillés car ils peuvent nécessiter un cathétérisme vésical et une hospitalisation ultérieure.
Quel est le meilleur antibiotique à utiliser ?
Bien qu’il n’existe aucune preuve issue d’essais comparatifs, les profils de résistance locale et les antibiogrammes doivent être pris en compte. Le triméthoprime-sulfaméthoxazole ne doit pas être utilisé comme agent de première intention si la résistance régionale à E. Coli est supérieure à 10 à 20 %.
Les fluoroquinolones ont des taux de guérison plus élevés, mais tenez compte des effets secondaires et des effets indésirables possibles chez vos patients. Choisissez un traitement en fonction de l’organisme le plus probable, ce qui, pour la plupart des gens, signifie qu’une couverture Gram-négative est essentielle.
| Régime antibiotique | |
| Ambulatoire | • Triméthoprime-sulfaméthoxazole (DC) PO toutes les 12 heures* • Ciprofloxacine 500 mg PO toutes les 12 heures • Lévofloxacine 500 mg PO toutes les 24 heures |
| Sexuellement actif | • Ceftriaxone 250 mg IM x 1 dose + doxycycline 100 mg PO deux fois par jour pendant 14 jours |
| Patients hospitalisés | • Ciprofloxacine 400 mg IV deux fois par jour ou lévofloxacine 750 mg IV par jour +/- gentamicine ou tobramycine 5 mg/kg IV par jour • Bêta-lactamine (par exemple pipéracilline/tazobactam 4,5 g IV toutes les 6 heures ou ceftazidime) +/ - gentamicine IV ou tobramycine 5mg/kg IV par jour |
| Résistant aux fluoroquinolones | • Ertapénem 1 g IV par jour • Ceftriaxone 1 g IV par jour • Imipénème 500 mg toutes les 6 heures • Tigecycline 100 mg IV x 1 dose, puis 50 mg toutes les 12 heures |
| Bactériémie ou abcès de la prostate |
• Ciprofloxacine 400 mg IV deux fois par jour • Lévofloxacine 500 mg IV toutes les 24 heures • Ceftriaxone 1 à 2 g IV par jour + lévofloxacine 500 à 750 mg • Ertapenem 1 g IV par jour • Pipéracilline-tazobactam 3,375 g IV toutes les 6 heures |
Envisagez d’ajouter un aminoglycoside si le patient a récemment pris des antibiotiques ou semble septique. Les tétracyclines et les macrolides ont été examinés dans la littérature, avec un succès limité par rapport aux agents mentionnés dans le tableau.
Il existe une certaine controverse concernant la durée idéale du traitement, les sources allant de deux à six semaines . Cliniquement, les patients devraient commencer à se sentir mieux avec une rémission de la fièvre et de la dysurie au cours de la première semaine de traitement antibiotique.
Autres considérations
Les patients qui n’ont jamais utilisé d’alpha-bloquants et qui ont récemment reçu un diagnostic de prostatite bactérienne aiguë peuvent présenter une amélioration symptomatique lorsqu’ils les ajoutent à leur schéma thérapeutique. Bien que la littérature urologique affirme que les alpha-bloquants peuvent améliorer les symptômes des patients pour tous les types de prostatite, cette affirmation repose sur différents niveaux de preuves.
Il n’existe aucun essai spécifique sur la prostatite bactérienne aiguë et les données sont limitées. D’autres décisions sur les alpha-bloquants et à quelles doses peuvent être prises en collaboration avec le service d’urologie. Les AINS peuvent également être utiles.
Cas 1
L’examen physique du patient révèle une sensibilité de la prostate et une sensibilité sus-pubienne à la palpation. Il n’y a pas de douleur à la palpation de l’angle costo-vertébral, ce qui rend la pyélonéphrite moins probable. Il n’a aucune douleur testiculaire, ce qui rend l’épididymite et la torsion moins probables. Il n’a pas de souffle, de frottement ou de galop à l’examen cardiaque, ce qui rend moins probable une endocardite ou une maladie valvulaire.
Après avoir commandé une analyse d’urine avec culture réflexe, formule sanguine complète, panel métabolique de base, une échographie est réalisée montrant > 500 mL d’urine. Après avoir parlé avec l’urologie, un petit cathéter de Foley urétral est placé avec résolution de l’obstruction. L’urologie recommande d’admettre le patient et de surveiller l’amélioration clinique pendant 24 heures avant de demander une nouvelle échographie. Le patient est mis sous pipéracilline/tazobactam et gentamicine et son état s’améliore peu de temps après.
Cas n°2
À l’examen, le patient vomit activement. Il présente des muqueuses sèches, mais pas de gêne abdominale généralisée. Il présente une grande sensibilité à la palpation de la prostate sans sang macroscopique ni autre anomalie. Ses poumons sont clairs et il n’y a aucun signe cutané suggérant une infection. En raison du risque de septicémie, une formule sanguine complète, un panel métabolique de base, du lactate, des hémocultures, une analyse d’urine avec antibiogramme et un remplacement liquidien sont ordonnés.
Le patient est démarré empiriquement sous ertapénème et un scanner est ordonné pour évaluer un éventuel abcès de la prostate. Après la réanimation, l’état du patient s’améliore et, heureusement, l’examen d’imagerie ne montre aucune accumulation de liquide. L’urologie est consultée sur le patient et il est admis au service de la clinique médicale.
Points clés
|















